Arthrosis sendi lutut (gonartrosis) adalah penyakit degeneratif di mana tulang rawan lebih tipis. Menurut statistik, setiap penduduk kelima di planet ini menderita patologi ini. Artikel ini akan mempertimbangkan penyebab utama arthrosis, gejalanya pada setiap tahap, serta metode diagnosis dan pengobatan.
Penyebab
Setiap hari, sambungan lutut mengalami beban besar saat berjalan. Bagaimanapun, mereka harus menahan massa seluruh tubuh. Sebagai akibatnya, ada keausan jaringan tulang rawan secara bertahap, yang merupakan penyebab perubahan patologis pada lutut.
Kelompok risiko termasuk orang:
- tua,
- Menderita kelebihan berat badan,
- memiliki gangguan osteoporosis dan metabolisme,
- pernah menerima cedera sendi lutut,
- mewakili profesi tertentu,
- menderita kekurangan mikro,
- terlibat dalam olahraga berat.

Pada kebanyakan orang berusia 40 tahun, keberadaan arthrosis pada tahap perkembangan kedua atau lebih baru dapat ditemukan.
Gejala utama
Tentu saja, perubahan jaringan tulang rawan tidak dapat terjadi tanpa gejala. Dengan penyakit, seseorang dapat mengeluh tentang:
- perasaan tidak nyaman di lutut setelah bangun atau jangka panjang dalam posisi duduk,
- Rasa sakit di kaki setelah posisi lama,
- sensasi terbakar saat mendaki gunung dan menaiki tangga,
- Kelemahan di kaki setelah sedikit beban, serta pada akhir hari.
- Beberapa pasien prihatin bahkan di malam hari, saat tidur.
Penting! Penyakit ini tidak terjadi tajam, ia berkembang selama bertahun -tahun. Nyeri pada tahap pertama bisa tidak signifikan, tetapi seiring waktu ada peningkatan yang terus -menerus.
Arthrosis sendi lutut 1 derajat
Pada tahap ini, gonarthrosis baru saja memulai perkembangannya, oleh karena itu, untuk seseorang, proses berlangsung hampir tanpa gejala. Namun, beberapa tanda masih bisa dilihat.
Seseorang sering mulai merasa kelelahan di kaki, perhatikan sedikit penurunan mobilitas satu atau dua sendi lutut. Fenomena ini sangat khas di pagi hari, di menit -menit pertama setelah bangun.
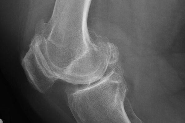
Sebagai aturan, diagnosis penyakit pada tahap ini terjadi secara tidak sengaja, selama x -ray. Di atasnya, dokter mungkin mencatat beberapa penyimpangan pada tulang rawan. Dimungkinkan juga untuk mempersempit lumen di antara bagian -bagian sambungan.
Arthrosis sendi lutut 2 derajat
Patologi sendi lutut mulai tampak lebih jelas. Penampilan sindrom nyeri adalah karakteristik, yang diprovokasi oleh beban tambahan pada sendi.
REFERENSI. Pada tahap ini, rasa sakit lewat secara mandiri, setelah istirahat panjang.
Selain itu, selama tahap kedua, gejala seperti:
- Cryst dengan gerakan tertentu. Dapat diamati baik dalam satu dan kedua lutut. Krisis hampir tidak terlihat, tetapi secara bertahap itu memperoleh karakter yang kasar, keras dan sangat berbeda.
- Mengurangi kemampuan untuk benar -benar menekuk kaki di lutut. Beberapa orang hanya dapat melakukan ini ke sudut 90 derajat, kemudian sensasi yang tidak menyenangkan muncul, dan mereka dipaksa untuk berhenti.
- Beberapa pasien dengan gonartrosis pada tahap ke -2 mulai mengeluh tentang penampilan nyeri tajam yang terjadi ketika sendi lutut ditekuk.
- Dimungkinkan untuk mengubah bentuk sambungan lutut, menjadi lebih lebar, membengkak. Ini karena akumulasi cairan patologis.

Jika ketidaknyamanan terdeteksi di area lutut, Anda harus berkonsultasi dengan dokter sehingga ia meresepkan perawatan yang tepat.
Arthrosis sendi lutut 3 derajat
- Pada tahap ini, pada sendi sendi, perubahan tulang rawan struktural yang sangat kuat diamati. Pertumbuhan yang memiliki ukuran besar muncul di atasnya.
- Kelengkungan kaki yang terkena dicatat. Ia memperoleh tikungan berbentuk 0 atau X, yang menjadi hambatan serius bagi kehidupan penuh pasien. Akibatnya, seseorang bisa menjadi orang cacat.
- Fenomena karakteristik dari tahap ke -3 penyakit ini adalah nyeri parah, yang dapat diamati secara konstan, mengintensifkan setelah ada, bahkan sedikit beban.
- Seseorang memperhatikan sensitivitas sendi terhadap perubahan cuaca. Sekarang setelah topan mendekat, lututnya sakit, sensasi menarik muncul di dalamnya.

Dengan bertambahnya usia, sendi mulai merespons perubahan cuaca dan tekanan.
Arthrosis sendi lutut 4 derajat
Ini adalah tahap akhir yang ekstrem dari penyakit ini, di mana kesenjangan antara tulang benar -benar tidak ada.
REFERENSI. Sebagian besar ortopedi mengaitkan tahap keempat dengan yang ketiga. Hal ini disebabkan oleh kesamaan gejala dan kompleksitas diagnosis tepat waktu.
Karena tidak adanya celah diamati, pergerakan sendi tidak mungkin.
Selain itu, pasien disiksa oleh rasa sakit yang tak tertahankan dan konstan, yang hanya dibebaskan oleh obat penghilang rasa sakit yang parah. Tetapi setelah saat aksi tablet atau injeksi berhenti, gejala yang tidak menyenangkan muncul lagi.
Diagnostik
Pemeriksaan pasien dimulai dengan permintaan bantuannya kepada seorang spesialis. Mereka mungkin seorang terapis atau ortopedi.
Dokter mendengarkan keluhan, mengumpulkan anamnesis, melakukan pemeriksaan. Pertama -tama, ia akan tertarik pada perubahan eksternal di sendi, keterbatasan mobilitas di wilayahnya.

X -Ray akan membantu mengidentifikasi penyimpangan dalam tulang rawan.
Saat menyelidik, pasien mengeluh tentang penampilan sensasi yang tidak menyenangkan, dan dengan kilau cangkir lutut, krisis menjadi terdengar.
Penting! Diagnosis tidak dimungkinkan setelah satu pemeriksaan visual dokter, bahkan di hadapan semua tanda penyakit. Hanya pemeriksaan komprehensif yang memungkinkan Anda memberikan jawaban yang akurat tentang patologi yang mengalir di lutut.
Setelah pemeriksaan, dokter meresepkan radiografi pasien. Ini adalah metode utama mendiagnosis arthrosis sendi lutut dari derajat apa pun.
X -Ray memberi dokter gagasan tentang perubahan yang terjadi di tulang rawan sendi. Namun, dalam beberapa kasus, tahap awal mungkin tidak didefinisikan dalam gambar.
Jika perlu, dokter dapat meresepkan bagian berulang dari sinar-X atau tomografi resonansi magnetik dan magnetik.
Perlakuan
Saat mendiagnosis gonarthrosis, perawatan segera harus dimulai. Ini akan membantu menghentikan perkembangan patologi, mencegah banyak komplikasi.
Terapi penyakit ini mengejar beberapa tujuan sekaligus. Yaitu:
- penghapusan sindrom nyeri,
- penurunan keparahan gejala lainnya,
- Pemulihan maksimum yang mungkin dari tulang rawan yang terkena dampak dan ligamen sendi,
- Peningkatan mobilitas anggota badan.
Perawatan penyakit ini mencakup metode seperti:
- Terapi obat,
- pijat, osteopati, terapi manual,
- Intervensi bedah,
- Pendidikan jasmani medis dan preventif,
- Fisioterapi.
Perawatan Narkoba
REFERENSI. Terapi obat adalah metode utama mengobati penyakit. Namun, ini paling berhasil saat dikombinasikan dengan metode lain.
Obat yang digunakan untuk pengobatan gonarthrosis meliputi:
- Obat anti -inflamasi nonsteroidal - Meredakan pasien dari rasa sakit, meredakan peradangan. Obat -obatan ini adalah agen simtomatik tanpa mempengaruhi penyebab penyakit. Mereka hanya bertarung dengan manifestasinya, membawa bantuan sementara.
- Kondroprotektor - Kembalikan kain tulang rawan. Namun, efeknya menjadi nyata tidak segera. Obat -obatan tersebut memiliki sifat kumulatif (akumulatif), oleh karena itu, tubuh membutuhkan waktu untuk efek penuhnya.
- Obat hormon. Mereka diresepkan, sebagai suatu peraturan, dengan tahap lanjut dari penyakit ini. Dana ini dapat dengan cepat meringankan pembengkakan dan peradangan jaringan di sekitar sendi. Kerugian dari kelas obat ini adalah efek sistemik pada tubuh, di mana banyak reaksi merugikan yang tidak diinginkan dimungkinkan. Mereka hanya diresepkan dalam satu kursus waktu, selama eksaserbasi proses.
- Obat eksternal, dirancang untuk menghilangkan rasa sakit. Dirilis dalam bentuk salep, krim.
- Asam Hyaluronic. Ini adalah solusi baru dalam pengobatan gonartrosis. Ini adalah pengenalan intra -artikular dari cara yang memelihara sendi. Ini memiliki efisiensi yang cukup tinggi. Namun, metode ini ditandai dengan kekurangan seperti: kemungkinan penggunaan hanya pada tahap awal penyakit dan tingginya biaya obat.
Penting! Memperkenalkan obat ke dalam celah sendi diizinkan tidak lebih dari 1 kali dalam 7-10 hari.
Pijat
Pijat, serta perawatan manual dan osteopatik ditujukan untuk:
- Penghapusan rasa sakit,
- mengatasi kekakuan gerakan di lutut,
- Peningkatan suplai darah di lokasi tulang rawan,
- Memberikan nutrisi dan oksigen di area peradangan.
REFERENSI. Pijat dan prosedur serupa harus dilakukan hanya oleh orang yang memiliki pendidikan khusus. Jika tidak, Anda dapat membahayakan dan memperburuk kondisi sendi.
Intervensi bedah
Ini adalah ukuran ekstrem dalam pengobatan arthrosis, ketika penyakit ini sangat diabaikan dan metode terapi lainnya tidak berdaya. Paling sering, endoprosthetics digunakan, di mana sambungan yang terkena digantikan oleh implan.
Prosthetics bisa dari dua jenis:
- penuh - seluruh sambungan diganti,
- Parsial - Hanya bagian yang paling aus dari sendi artikular yang dapat diganti.
Kontraindikasi untuk prosthetics adalah:
- infeksi purulen kronis;
- gangguan neuromuskuler;
- patologi vena;
- Sejumlah penyakit kardiovaskular.
Pilihan lain adalah osteotomi koreksi. Dengan metode ini, pelat dimasukkan ke dalam sambungan, mengurangi tekanan pada area lutut yang terkena.
Terapi olahraga
Ini adalah implementasi reguler dan benar dari sejumlah latihan fisik yang bertujuan memperkuat sendi dan memulihkan mobilitasnya.
Prosedur ini dapat dilakukan secara mandiri di rumah, setelah sebelumnya menghubungi spesialis untuk mendapatkan nasihat.
Pencegahan
Mengikuti aturan sederhana akan mencegah kejadian atau eksaserbasi penghancuran tulang rawan. Untuk ini Anda butuhkan:
- Ikuti Diet. Ini akan berkontribusi pada pengendalian berat badan, memberi tubuh semua vitamin dan mineral yang diperlukan.
- Patuhi olahraga tertentu, meninggalkan orang lain. Faktanya adalah bahwa dengan gonarthrosis, beban berlebihan pada lutut sangat tidak diinginkan. Untuk alasan ini, berlari dan melompat lebih baik untuk diganti dengan naik sepeda, berenang atau Aquaerobik.
- Secara teratur melakukan latihan terapeutik.
- Kenakan sepatu yang nyaman dan benar ortopedi. Tidak dapat diterima untuk memakai kancing dan sepatu hak tinggi, sol datar, memberikan preferensi untuk sepatu dengan tumit kecil.
Arthrosis sendi lutut adalah penyakit yang cukup umum yang bisa tidak diperhatikan untuk waktu yang lama. Meskipun awal yang tidak menunjukkan gejala, gonarthrosis dapat menyebabkan komplikasi serius, hingga cacat. Oleh karena itu, sangat penting untuk melakukan diagnostik dalam waktu dan memulai perawatan yang diperlukan.


















































